Ваш браузер устарел и не обеспечивает полноценную и безопасную работу на сайте. Пожалуйста, обновление браузер, чтобы улучшить качество работы с сайтом.
Бессрочная гарантия Посмотреть подробности
Каталог

Набор готовых микропрепаратов Levenhuk N20 NG

С комплектом предметных и покровных стекол. Область применения: биология и физиология

Levenhuk (Левенгук)
Характеристики
Артикул 29277
Страна КНР для Levenhuk, Inc. (США)
Бренд Levenhuk (Левенгук)
Гарантия 6 месяцев
Размер упаковки (ДxШxВ) 15x8x3 см
Вес в упаковке 0.34 кг
Все спецификации

Прежде чем рассматривать какой-то объект под микроскопом, его необходимо специальным образом подготовить, чтобы получить соответствующий микропрепарат. Процесс изготовления микропрепарата требует наличия специального инструмента, использования красителей, затрат времени и некоторой сноровки. При этом некачественно подготовленный микропрепарат может оказаться непригодным для наблюдений, что неизбежно вызовет разочарование.

Приобретя набор готовых микропрепаратов, вы сможете приступить к исследованиям сразу же – они готовы для использования «из коробки», достаточно разместить образец на предметном столике микроскопа и настроить резкость изображения.

В набор входят 20 образцов тканей растений, животных и человека, кроме того имеются несколько десятков чистых предметных и покровных стекол для изготовления собственных микропрепаратов. Предметные и покровные стекла изготовлены из высококачественного стекла с высокой прозрачностью, благодаря чему они не вносят искажений в изображение.

Готовые микропрепараты, предметные и покровные стекла могут использоваться с биологическим микроскопом любой модели.

В наборе микропрепаратов:

  1. Дрозофила (личинка)
  2. Дрозофила (куколка)
  3. Дрозофила «норма»
  4. Животная клетка
  5. Растительная клетка
  6. Плесень
  7. Дробление яйцеклетки
  8. Митоз в корешке лука
  9. Поперечно-полосатые мышцы
  10. Сперматозоиды млекопитающего
  11. Нерв (поперечный срез)
  12. Рыхлая соединительная ткань
  13. Яйцеклетка млекопитающего
  14. Нервные клетки
  15. Гиалиновый хрящ
  16. Гладкие мышцы
  17. Костная ткань
  18. Кровь лягушки
  19. Кровь человека
  20. Однослойный эпителий

Дополнительно: предметные (24 шт.) и покровные стекла (40 шт).

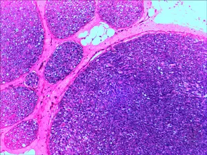
Примеры слайдов под микроскопом смотрите в галерее фотографий, а также в обзоре «Наборы готовых микропрепаратов Levenhuk» на сайте levenhuk.ru.

Артикул 29277
Страна КНР для Levenhuk, Inc. (США)
Бренд Levenhuk (Левенгук)
Гарантия 6 месяцев
Размер упаковки (ДxШxВ) 15x8x3 см
Вес в упаковке 0.34 кг
Tatiana Yadykina (15.11.2019)
Добрый день!а подойдет ли этот набор для микроскопа LevenhuklabZZ 101?
Ответ:
Набор готовых микропрепаратов Levenhuk N20 NG подойдет для микроскопа Levenhuk LabZZ M101.

Ольга (02.08.2019)
Подойдет ли набор онокдля микроскопа Levenhuk 320, мулярныйПодойдет ли набор для микроскопа Levenhuk 320, монокулярный
Ответ:
Набор готовых микропрепаратов Levenhuk N20 NG подходит для микроскопа Levenhuk 320.

Александра (30.07.2018)
Добрый день! Подскажите, пожалуйста, этот набор подойдет для Микроскопа Levenhuk Rainbow 2L?
Спасибо
Ответ:
Набор готовых микропрепаратов Levenhuk N20 NG подходит для микроскопа Levenhuk Rainbow 2L.

Мария (01.02.2017)
Здравствуйте. Подскажите пожалуйста подойдет ли данный набор для учебного цифрового микроскопа Celestron?
Ответ:
Набор готовых микропрепаратов Levenhuk N20 NG подойдет для учебного цифрового микроскопа Celestron.

Ирина (02.11.2016)
Здравствуйте хотела спросить какой набор микропрепаратов лучше Levenhuk N20 NG или Levenhuk N18 NG и еще подойдут ли эти наборы для микроскопа Bresser National Geographic 40-640x?
Ответ:
Набор готовых микропрепаратов Levenhuk N20 NG и Levenhuk N18 NG подойдут к микроскопу Bresser National Geographic 40-640x. Наборы Levenhuk N20 NG и Levenhuk N18 NG отличаются по области применения, нельзя сказать, что какой-то из этих наборов лучше или хуже.

Илья (21.01.2016)
А подойдёт ли этот набор под микроскоп Eastcolight МР-900, с панорамной насадкой
Ответ:
Набор готовых микропрепаратов Levenhuk N20 NG подходит ко всем биологическим микроскопам!

илья (20.01.2016)
Скажите а подойдут ли эти бактерии для микроскопа Bresser 60x–100x с подсветкой
Ответ:
Набор готовых микропрепаратов Levenhuk N20 NG подходит для биологических микроскопов с нижней подсветкой, которая отсутствует у микроскопа Bresser 60x–100x с подсветкой. Обратите внимание на микроскоп Levenhuk 2L NG, монокулярный, http://www.4glaza.ru/products/levenhuk_2l_ng/ . На нем можно рассматривать как прозрачные, так и не прозрачные препараты.

Сергей (11.01.2016)
Здравствуйте .Подойдет ли этот набор для микроскопа Микромед Р-1
Ответ:
Набор готовых микропрепаратов Levenhuk N20 NG подойдет для микроскопа Микромед Р-1.

Иван (26.12.2015)
А подойдёт ли этот набор для микроскопа levenhuk фиксики ролик?
Ответ:
Да, набор готовых микропрепаратов Levenhuk N20 NG подходит для микроскопа Levenhuk Фиксики Нолик.

Аня (25.12.2015)
Что значит комплектация А и комплектация B?
Ответ:
Дополнительно к набору готовых микропрепаратов Levenhuk N20 NG:
Комплектация A: предметные (40 шт.) и покровные стекла (40 шт).
Комплектация B: предметные (24 шт.) и покровные стекла (40 шт).


Добавить вопрос о "Набор готовых микропрепаратов Levenhuk N20 NG"
Ирина (05.06.2025)
Купила сыну, залипаю сама) год назад приобрели сыну микроскоп и небольшой набор для опытов этой же фирмы. Любознательность сына только возросла и приобрели набор N20. Наконец-то начали сами делать препараты - целых 40 покровных стёкол и 24 предметных в наборе! Уже сделали препарат из лапки осы, дафнии из лужи. Смотрели специи, человеческий волос. Сделали препарат из среза листового салата (нож для среза в этот комплект не входит, нужно докупать отдельно). Готовые препараты тоже интересные - соматические и половые клетки, насекомые) очень круто! Залипаю сама, умиротворяющее занятие и сын познаёт микромир.
Ответ:
Здравствуйте!
Благодарим Вас за отзыв о наборе готовых микропрепаратов Levenhuk N20 NG. Ваш комментарий очень важен другим покупателям при выборе!

Дарина (12.03.2025)
Качественные стекла. Ребёнку очень понравилось.
Ответ:
Благодарим за добрые слова — это очень мотивирует! Прекрасного дня!

Наталия (30.01.2025)
Упаковка целая, яркая! Все составляющие на месте. Купили внукам в подарок, как дополнение к микроскопу. В микроскоп еще не рассматривали, но дрозофилу видно даже без микроскопа .
Очень познавательно и интересно даже взрослым.
Ответ:
Рады, что эксплуатация Набор микропрепаратов Levenhuk N20 NG оставила хорошие впечатления. Благодарим, что выбрали наш магазин.

Анна (24.01.2025)
Отличный набор! Ребёнок с удовольствием изучает.
Ответ:
Благодарим за отзыв — он вдохновляет команду. Желаем приятного пользования!

Александр (01.01.2025)
Для ребят постарше. Мы брали в дополнение к подарку микроскоп на 6 лет. Этот набор, наверное, будет интереснее в школе на уроках биологии. А так все видно хорошо, образцы достойные.
Ответ:
Рады, что эксплуатация Набор микропрепаратов Levenhuk N20 NG оставила хорошие впечатления. Благодарим, что выбрали наш магазин.

Алексей (18.08.2014)
Приобрел в одном из ваших магазинов этот замечательный набор с микропрепаратами. Самому готовить не очень то и было желание. Я увидел наконец-то, как выглядит нервная клетка и сперматозоиды млекопитающего. Еще очень удобная коробочка, куда можно все сложить обратно. Рекомендую!!!
Ответ:
Спасибо за Ваш отзыв о наборе готовых микропрепаратов Levenhuk N20 NG.


Добавить отзыв о "Набор готовых микропрепаратов Levenhuk N20 NG"
Максимальный размер файла 100 MB. Допустимые форматы: изображения PNG, JPG, GIF, видео MP4, MOV.
Можно загрузить одно фото или выбрать сразу несколько.
Цена действительна только для интернет-магазина и может отличаться от цен в розничных магазинах.
Не устраивает цена товара?
Сообщить, когда цена снизится!